...
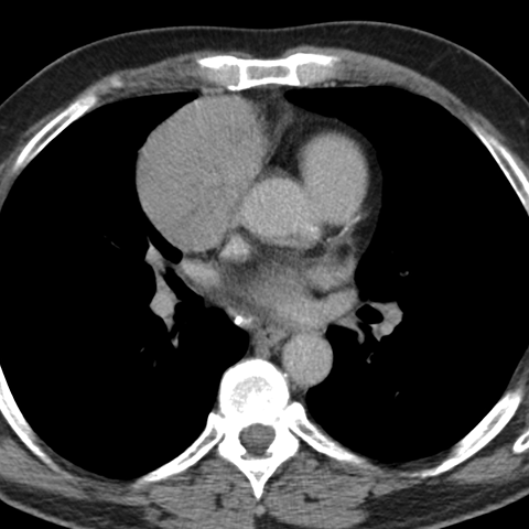
Mediastinal mass, thymoma [3 of 3]
Page 108:
Mediastinal mass, thymoma [3 of 3]


Lines
Lines and Labels
Mouse-Over: