...
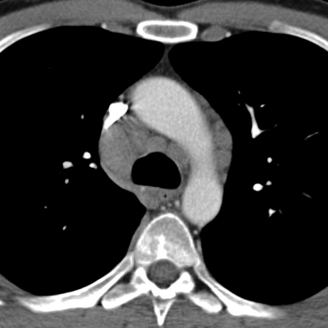
Mediastinal Lymph Nodes in NHL (Axial CT) [2 of 4]
Page 110:
Mediastinal Lymph Nodes in NHL (Axial CT) [2 of 4]


Lines
Lines and Labels
Mouse-Over: