...
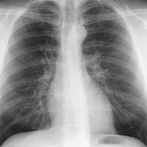
Normal anatomy of the aorta (CXR) [1 of 5]
Page 118:
Normal anatomy of the aorta (CXR) [1 of 5]


Lines
Lines and Labels
Mouse-Over: