...
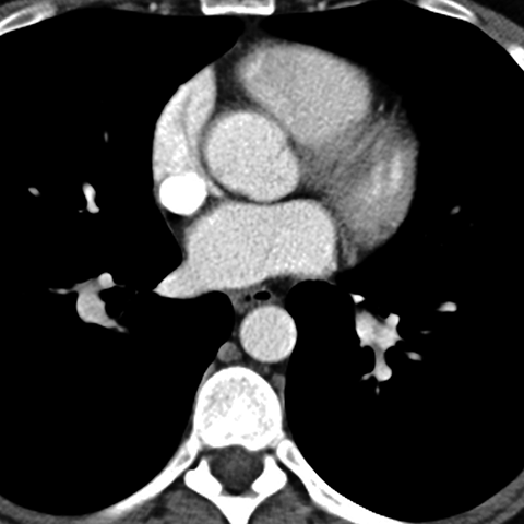
Normal antomy of the aorta (Axial CT) [4 of 5]
Page 121:
Normal antomy of the aorta (Axial CT) [4 of 5]


Lines
Lines and Labels
Mouse-Over: