...
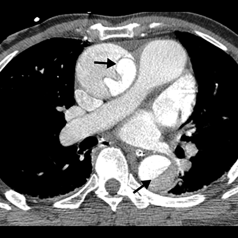
Aortic Dissection (Axial CT) [1 of 3]
Page 124:
Aortic Dissection (Axial CT) [1 of 3]


Mouse-Over: