...
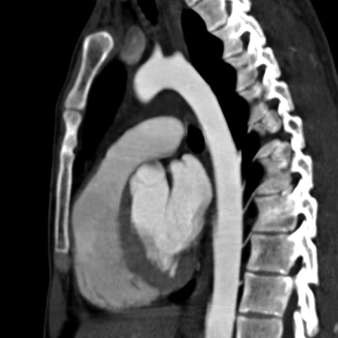
Normal Heart (CT) [4 of 6]
Page 133:
Normal Heart (CT) [4 of 6]


Lines
Lines and Labels
Mouse-Over: