...
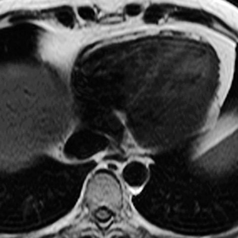
Normal Pericardium (Axial MR) [4 of 8]
Page 146:
Normal Pericardium (Axial MR) [4 of 8]


Lines
Lines and Labels
Mouse-Over: