...
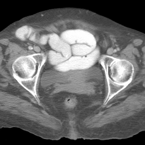
77 year-old woman presents with abdominal pain,vomiting, fever, and tachycardia [1 of 3]
Page 160:
77 year-old woman presents with abdominal pain,vomiting, fever, and tachycardia [1 of 3]


Lines
Lines and Labels
Mouse-Over: