...
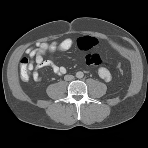
59 year-old male presents with an abdominal mass and pain. [2 of 5]
Page 164:
59 year-old male presents with an abdominal mass and pain. [2 of 5]


Lines
Lines and Labels
Mouse-Over: