...
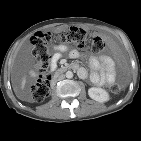
77 year-old woman with a history of ovarian cancer presents with increasing abdominal girth. [6 of 6]
Page 175:
77 year-old woman with a history of ovarian cancer presents with increasing abdominal girth. [6 of 6]


Lines
Lines and Labels
Mouse-Over: