...
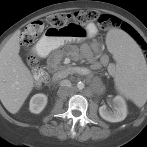
26 year-old male presents with night sweats, weight loss and fever. [3 of 3]
Page 184:
26 year-old male presents with night sweats, weight loss and fever. [3 of 3]


Lines
Lines and Labels
Mouse-Over: