...
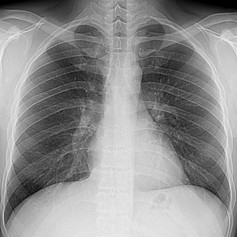
Normal PA Chest Radiograph on Inspiration [1 of 2]
Page 20:
Normal PA Chest Radiograph on Inspiration [1 of 2]


Lines
Lines and Labels
Mouse-Over: