...
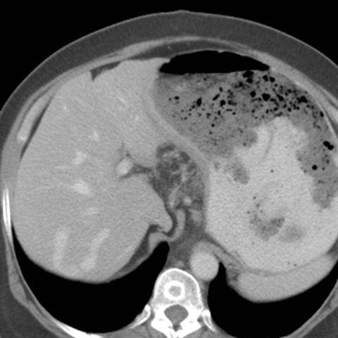
56 year-old male presents with abdominal pain and weight loss [4 of 5]
Page 201:
56 year-old male presents with abdominal pain and weight loss [4 of 5]


Lines
Lines and Labels
Mouse-Over: