Page 221:
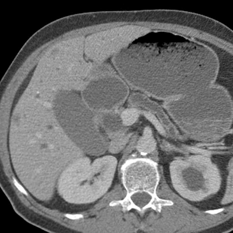
56 year-old male presents with painless jaundice [2 of 7]
Lines
Lines and Labels
Mouse-Over:
« Previous
Home
Next »