Page 227:
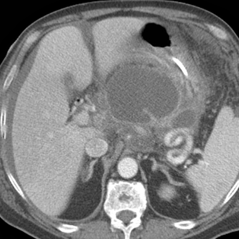
Pancreatic Pseudocyst [1 of 3]
Lines
Lines and Labels
Mouse-Over:
« Previous
Home
Next »