Page 230:
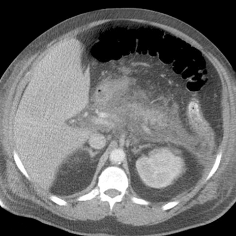
32-year-old man with severe epigastric pain after heavy partying [1 of 2]
Lines
Lines and Labels
Mouse-Over:
« Previous
Home
Next »