Page 238:
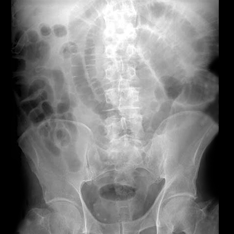
27 year-old male with a history of an appendectomy presents with nausea, vomiting, colicky abdominal pain, and diarrhea. [1 of 3]
Lines
Lines and Labels
Mouse-Over:
« Previous
Home
Next »