Page 243:
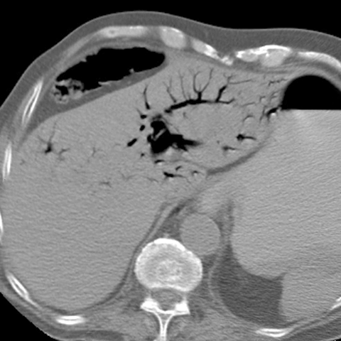
Small Bowel Infarction, axial CT [1 of 2]
Lines
Lines and Labels
Mouse-Over:
« Previous
Home
Next »