Page 245:
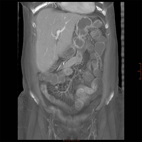
56 year-old male with Crohns Disease presents with persistent abdominal pain and diarrhea. [1 of 4]
Lines
Lines and Labels
Mouse-Over:
« Previous
Home
Next »