Page 259:
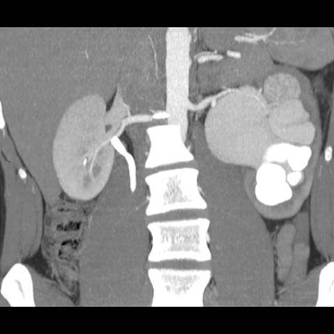
Hydronephrotic kidney [4 of 4]
Lines
Lines and Labels
Mouse-Over:
« Previous
Home
Next »