Page 263:
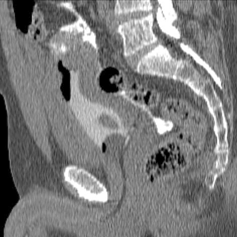
Intraperitoneal rupture of bladder, CT (sagittal) [2 of 2]
Lines
Lines and Labels
Mouse-Over:
« Previous
Home
Next »