Page 279:
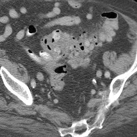
65 year-old male presents with fever and LLQ pain. [2 of 5]
Lines
Lines and Labels
Mouse-Over:
« Previous
Home
Next »