...
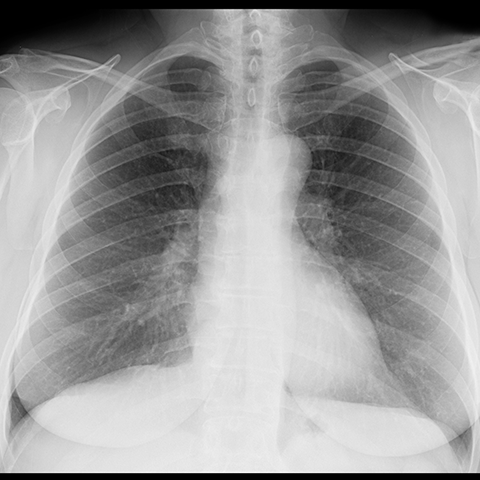
Normal anatomy of the lungs (CXR) [7 of 8]
Page 32:
Normal anatomy of the lungs (CXR) [7 of 8]


Lines
Lines and Labels
Mouse-Over: