Page 337:
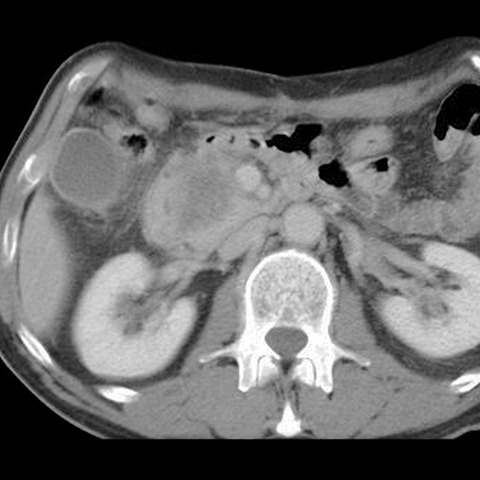
65-year-old male presents with painless jaundice. [4 of 5]
Lines
Lines and Labels
Mouse-Over:
« Previous
Home
Next »