Page 344:
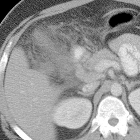
67-year-old diabetic male with a long history of colicky RUQ pain presents with a sudden onset of increased abdominal pain. [2 of 2]
Lines
Lines and Labels
Mouse-Over:
« Previous
Home
Next »