Page 346:
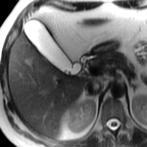
Cholelithiasis, Axial T2 weighted MRI
Lines
Lines and Labels
Mouse-Over:
« Previous
Home
Next »