Page 375:
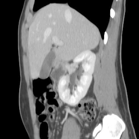
Right kidney, sagittal view (CT) [9 of 9]
Lines
Lines and Labels
Mouse-Over:
« Previous
Home
Next »