Page 378:
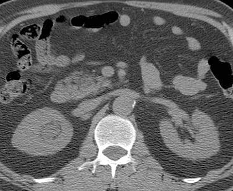
65-year-old male with painless hematuria [1 of 5]
Lines
Lines and Labels
Mouse-Over:
« Previous
Home
Next »