Page 390:
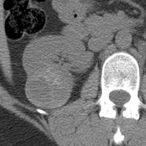
67-year-old male with flank mass and hematuria [1 of 3]
Lines
Lines and Labels
Mouse-Over:
« Previous
Home
Next »