Page 395:
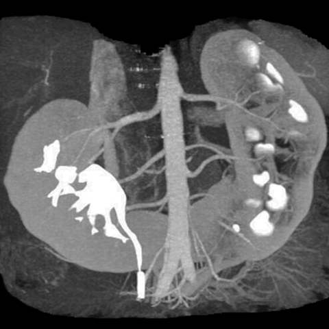
12 year old male presents with occasional abdominal discomfort [3 of 4]
Lines
Lines and Labels
Mouse-Over:
« Previous
Home
Next »