Page 397:
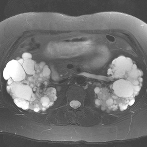
40-year-old woman with progressive renal failure and palpable abdominal masses [1 of 2]
Lines
Lines and Labels
Mouse-Over:
« Previous
Home
Next »