...
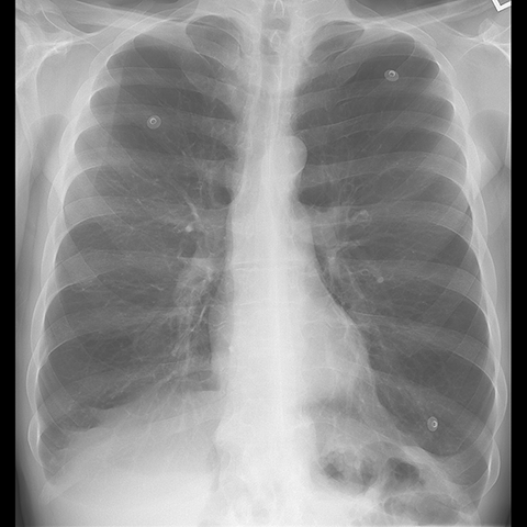
A 62 year-old male presents with chronic shortness of breath (Frontal Radiograph). [1 of 6]
Page 41:
A 62 year-old male presents with chronic shortness of breath (Frontal Radiograph). [1 of 6]


Lines
Lines and Labels
Mouse-Over: