Page 405:
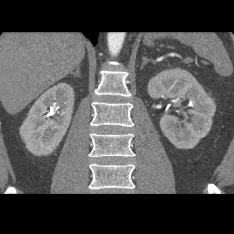
Adrenal glands (coronal, CT)
Lines
Lines and Labels
Mouse-Over:
« Previous
Home
Next »