...
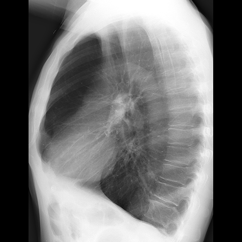
A 62 year-old male presents with chronic shortness of breath (Lateral Radiograph). [3 of 6]
Page 43:
A 62 year-old male presents with chronic shortness of breath (Lateral Radiograph). [3 of 6]


Lines
Lines and Labels
Mouse-Over: