Page 431:
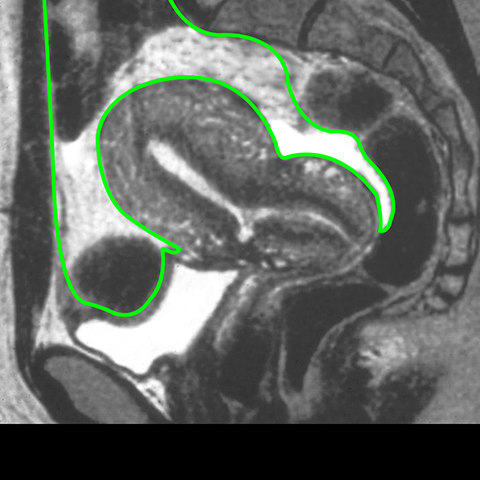
Female Reproductive Organs ( T2 weighted MR, sagittal) [2 of 5]
Lines
Lines and Labels
Mouse-Over:
« Previous
Home
Next »