Page 439:
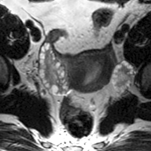
Ovary (T2 weighted MR)
Lines
Lines and Labels
Mouse-Over:
« Previous
Home
Next »