Page 441:
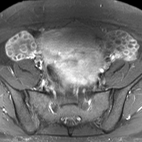
28 year old female with excessive hair growth on her face and abdomen presents with irregular vaginal bleeding. [2 of 2]
Lines
Lines and Labels
Mouse-Over:
« Previous
Home
Next »