Page 447:
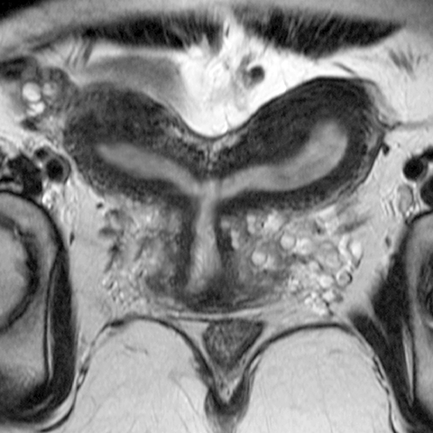
Bicornuate uterus (T2 weighted MR) [2 of 2]
Lines
Lines and Labels
Mouse-Over:
« Previous
Home
Next »