...
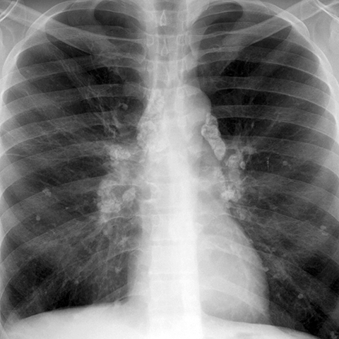
Calcified Hilar Nodes, Remote Granulomatous Infection [1 of 4]
Page 52:
Calcified Hilar Nodes, Remote Granulomatous Infection [1 of 4]


Lines
Lines and Labels
Mouse-Over: