Page 519:
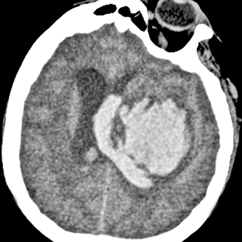
44 year old African American male presented with a sudden onset of a severe headache and slurred speech. [2 of 3]
Lines
Lines and Labels
Mouse-Over:
« Previous
Home
Next »