Page 522:
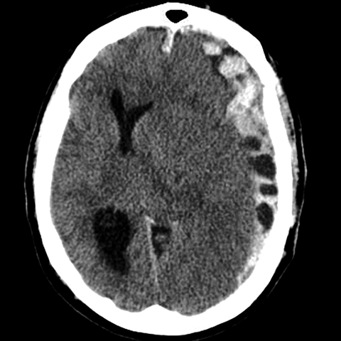
55 year old female presents to the emergency room after a car accident [2 of 4]
Lines
Lines and Labels
Mouse-Over:
« Previous
Home
Next »