Page 533:
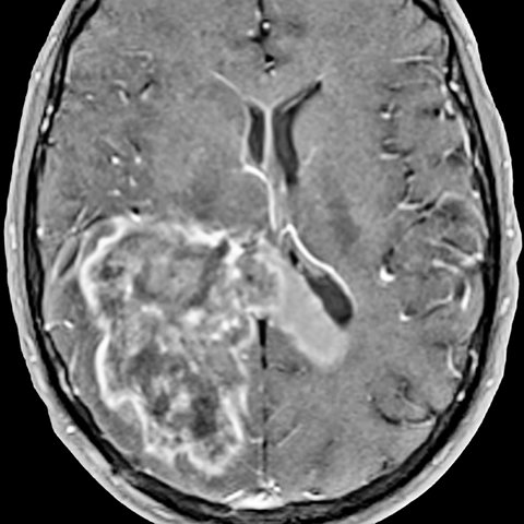
Glioblastoma Multiforme [2 of 2]
Lines
Lines and Labels
Mouse-Over:
« Previous
Home
Next »