Page 539:
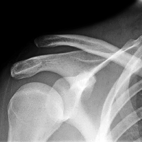
Acromioclavicular dislocation
Mouse-Over:
« Previous
Home
Next »