Page 544:
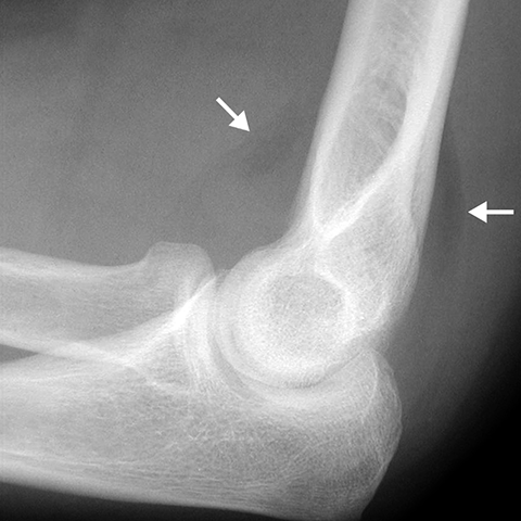
Radial Head fracture
Mouse-Over:
« Previous
Home
Next »