Page 547:
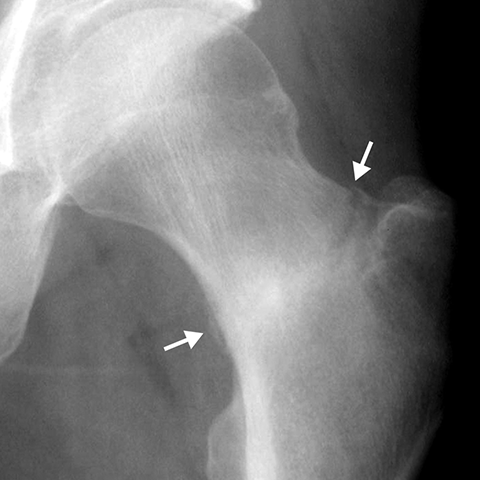
Fracture of Femoral Neck
Mouse-Over:
« Previous
Home
Next »