Page 554:
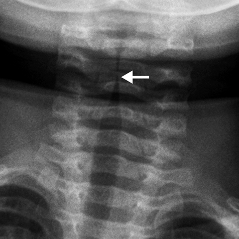
Croup [1 of 2]
Mouse-Over:
« Previous
Home
Next »