...
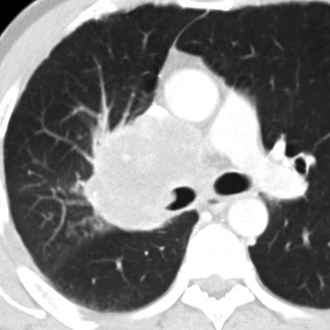
Hilar Nodes in Lung Cancer [3 of 3]
Page 58:
Hilar Nodes in Lung Cancer [3 of 3]


Lines
Lines and Labels
Mouse-Over: