...
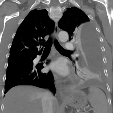
Large, Loculated Pleural Effusion [3 of 3]
Page 68:
Large, Loculated Pleural Effusion [3 of 3]


Lines
Lines and Labels
Mouse-Over: