...
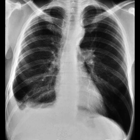
Pleural Effusion, Small to Moderate [2 of 5]
Page 70:
Pleural Effusion, Small to Moderate [2 of 5]


Lines
Lines and Labels
Mouse-Over: