...
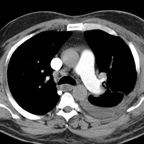
Pleural Effusion, Small to Moderate [4 of 5]
Page 72:
Pleural Effusion, Small to Moderate [4 of 5]


Lines
Lines and Labels
Mouse-Over: